OMFT – Oro-facial myo- funktional Therapy
En oralmotorisk terapiform som er udviklet af den hollandske tandlæge Berry Verlinden og talepædagog Liste Maas-HouteKamer.
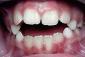
Mange børn med spise og udtaleproblemer har også følgende symptomer:
Tunge som har hvileleje i mundbunden, høj gane, åbenstående mund om dagen og/eller om natten, atypisk tandsæt/skæve/strittende tænder, smasker og spiser med åbenmund og med en tunge der ender ude på eller i mellem tænderne under synkning. Kort sagt en disharmoni mellem musklerne inde i munden og musklerne uden på munden.
Resultaterne ved ikke at gøre noget, er ofte at børnene fortsætter med at få mad og drikke galt i halsen, får et aparte ansigtsudtryk, snorker eller sover uroligt, får utydelig udtale og kommer i tandbøjlebehandling uden grund.
Der er 4 mål i behandlingen: 1: Vejrtrækning gennem næsen, 2: Ordentlig forsegling af læberne/læbelukke, 3: Korrekt placering af tungen i hvile og 4: Synkemønster.
For at opnå ovenstående 4 mål samt andre mindre mål, laves en OMFT undersøgelse som munder ud i oralmotorisk træning.

